毎日歯は磨いていても__?
14歳、ダックスフンドちゃん。かかりつけにお口が臭いので相談したが「毎日歯を磨いているし問題ないのでは」と言われたとのこと。確かに極端に歯石が付着したり歯肉が赤いわけではありませんでした。

初診時の右側

左側
しかしよく観察すると、左上顎の第二前臼歯の歯肉が上がって根っこの部分が見えていました。(矢印部分)。この場所は歯根が鼻腔に近いため、歯周病が進行し歯の根元まで骨が失われると、鼻腔につながりかねません。その状態を口腔鼻腔ろうと言います。

左上顎の拡大図。矢印部分が歯肉が欠損しているところ
また上顎の切歯も1本抜けておりました。1本の歯だけが突然悪くなるというはずはなく、やはりこのワンちゃんは歯周病がそれなりに進行している可能性があります。

正面上顎、右から二番目の切歯がなくなっている
基礎疾患がありシニアの子ではありましたが、歯周病は経過観察しても治るというものではありません。別日に全身麻酔下で歯科レントゲン、口腔内精査を行い歯石除去、抜歯などを検討しました。術前検査の頭部レントゲン検査では、上顎犬歯に欠損があることもわかりました。こちらも手術中に確認することとしました。

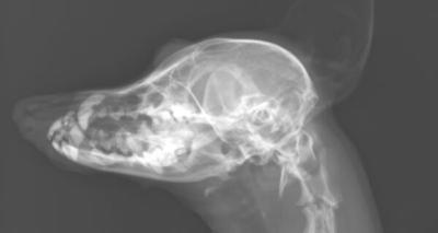
頭部レントゲン

先ほどの頭部の拡大図。黄色矢印の位置で犬歯に一部虫歯のような欠損部が。
まず、全身麻酔をかけて歯科レントゲンを全ての歯で撮影します。


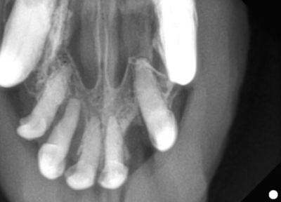
上顎切歯

上顎の切歯のレントゲン

黄色斜線部分が歯の周りの骨が溶けてしまったところ。
このようにひとつひとつの歯を評価していきます。

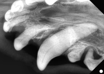
右上の犬歯

黄色斜線部が歯周病で周りの骨が溶けてしまっている状態。口腔鼻腔ろうになっていた。
歯科レントゲンでも犬歯の一部に欠損があるのがわかりますね。これは頭部レントゲンで撮影した部分と一致します。

左上顎の犬歯です

こちらも残念ながらかなり深い骨の喪失があります。
歯科レントゲンの次は、プロービングといって歯周ポケットの深さや動揺の有無、根っこの分岐が見えてしまっていないかなどのチェックをします。

右犬歯の手前に5mmの歯周ポケット

奥には10mmの深い歯周ポケット
小型犬の健康な歯周ポケットは3mmまででしょうから、かなり深いポケットです。上顎犬歯は左右とも同様の深いポケットで鼻腔とつながっており基礎疾患と年齢から、残念ながら抜歯を選択しました。口腔鼻腔ろうはこのままですと、くしゃみや鼻水、食欲不振、最悪肺炎まで起こしかねません。

歯肉を切開すると骨がほとんどありませんでした

抜歯し、膿や肉芽を切除。奥に鼻腔が見える

レントゲンで確認できた欠損部が犬歯に認められた。外部吸収と考えられる

細かく吸収糸で縫合

右上顎も同様に。歯肉の下がっていた第二前臼歯まで抜歯。

内側は想像以上に骨がなくなっていた

被せるための歯肉を丁寧に調整していく

引き攣らないように緻密に縫合していく

問題のない歯は綺麗に歯石除去研磨して終了です。このように深い歯周ポケットは歯磨きだけでは太刀打ちできず、最終的には全身麻酔下での抜歯となるケースが多いです。見た目が綺麗でも奥で歯周炎が進行することを考えると、定期的な全身麻酔下での歯科処置は有用と考えます。このワンちゃんは残念ながら犬歯を失ってしまいましたが奥歯は残せましたので噛んで食べる楽しみは残すことができました。術後はむしろご飯はよく食べるようになったそうです。高齢でかかりつけ医から難しいとされても、ぜひ一度ご相談させてくださいね。