乳歯が残ってる?若い猫の歯肉増殖と過剰歯
「乳歯がまだ残っているとかかりつけ医に言われました。自然に抜けるのを待つようにとのことでしたが、大丈夫でしょうか?」
これは子犬子猫の診察時にはよくある飼い主さんからの訴えですが、その子の月齢によっては「大丈夫じゃない」こともあります。とくに猫の場合は乳歯遺残自体が珍しく、歯の生え替わりに影響するような病気がないかなど、注意深く観察する必要があります。また、乳歯が残っていることで永久歯が正しい位置に生えることができなくて、将来的に噛み合わせが悪くなることもあります(不正咬合)。改善するためには、残っている乳歯を抜歯する必要がありますが、遅くともまだ永久歯が移動する余裕のある、生後10ヶ月までには実施するべきでしょう。
とまあ、前置きが長くなりましたが、今回の話は実は乳歯遺残ではありません。生後10ヶ月のオス猫ちゃん。かかりつけ医にて去勢手術時に乳歯が残っていることと歯肉が赤いことが指摘されました。

右側

正面

左側

くちのなか
当院にて初診時、お口を確認するとまず、歯肉が赤くモリモリしていることがわかります。そして、奥の方は赤く腫れていないので、幸い口内炎にはなっていないようです(口内炎は喉のほうまで赤く腫れます)。歯は確かに本数は多いのですが、乳歯にしてはそれぞれの歯がしっかりしています。これらのことから、若齢猫の歯肉増殖症と、過剰歯の存在と推測しました。これらの病態の説明は後述しますが、いずれにしろ肉眼のみでの検査では診断も難しいため、全身麻酔下での歯科レントゲンを用いた精査、また歯肉の盛り上がった部位は一部採取して病理検査に提出することにしました。
当日の肉眼写真です。

上顎

下顎
左右上顎と、右下顎の歯は明らかに歯の生え方に異常がありました。

右側上下顎

左上

下顎。唯一正常のような生え方
参考としてほぼ正常な猫の歯はこんな感じです。歯並びと歯の数、歯肉の腫れ方が違います。

参考。正面

参考。右上顎

参考。右下顎

参考。左上顎

参考。左下顎
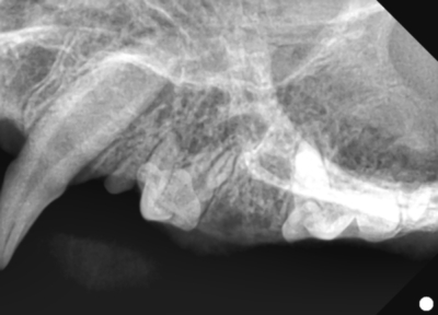
そして歯科レントゲン撮影を行いました。


なにがなにやらわからないと思い、黄色ラインで歯をなぞりました。右上顎です。中央に過剰な歯があり、回転して生えています。

左下顎は正常な数と歯並び


右上顎も同様に中央に回転して生えている過剰歯があります。


左下顎は中央に重なって生えている過剰歯があります。レントゲンで確認しても、乳歯ではなく永久歯と考えられました。これらは過剰歯と呼ばれ、通常より本数が多く歯が生えてきます。かみ合わせが悪くなり、また歯間が狭くなり歯垢がつき、歯周病になりやすいです。そのため、不必要と思われる歯を抜歯しました。また、歯肉の増殖している部分を一部切り取り病理検査用の検体とし、それ以外の部分はメスで切除し正常に近い歯肉の形状に近づけました。

左上顎

右上顎

左下顎
抜歯後は必ずレントゲン写真で残根がないか確認しています。

左上顎

右上顎

右下顎
術後二週間での再診です。だいぶすっきりしました。病理検査の結果では「慢性歯肉炎」で、年齢から考えると若年性歯肉増殖性歯肉炎という診断となります。

左側

右側。縫合糸が一部残っている

正面
通常、若年性歯肉増殖症は歯の生え変わる生後7から10ヶ月齢に認められます。自然治癒することもありますが、痛みを伴い歯肉口内炎に続くこともあり、経過観察が必要です。一般的には原因は定かではありませんが、プラークコントロールが推奨されており、全身麻酔下での歯垢歯石除去、過剰な歯肉の切除などがあります。サプリメントなども併用し成長とともに落ち着くこともありますが、歯肉炎が継続すると、そこから骨が溶けていく歯周炎まで進行することもあります。経過観察を実施し、必要に応じて追加の治療が必要です。
歯の生え替わりから歯茎が赤くなってきたな?と思ったらお気軽に当院にご相談ください。